開始は7歳半からでした。初診の状態がこちらです。凸凹が主訴ですが。
お口を開いた写真で見ると上下のバランスも乱れています。
口呼吸の改善から始めました。

約1年後がこちらです。
少しづつよくなっていますが。上顎の犬歯の隙間が足りません。凸凹ももう少し
よくなって欲しいです。

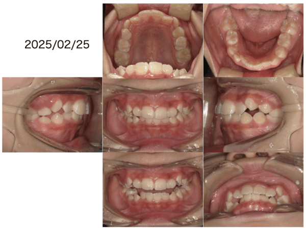
見えない装置で、犬歯の隙間を作ろうとしています。正面や下の歯並びが完成に近づいています。
今9さいです。 下の歯のように、大人の歯が生えそろうまでは、トレーニングを
親子で頑張ってもらいます。担当のスタッフも頑張ってね。

開始は7歳半からでした。初診の状態がこちらです。凸凹が主訴ですが。
お口を開いた写真で見ると上下のバランスも乱れています。
口呼吸の改善から始めました。

約1年後がこちらです。
少しづつよくなっていますが。上顎の犬歯の隙間が足りません。凸凹ももう少し
よくなって欲しいです。

見えない装置で、犬歯の隙間を作ろうとしています。正面や下の歯並びが完成に近づいています。
今9さいです。 下の歯のように、大人の歯が生えそろうまでは、トレーニングを
親子で頑張ってもらいます。担当のスタッフも頑張ってね。
