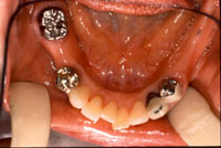
インプラント症例集 入れ歯が嫌いでした入れ歯が嫌いでした。右の白い歯がインプラントです。 術前 術後 By TDC管理 | 2013年3月25日 | インプラント 治療例 |← 不定愁訴は、脳の状態に左右されると思います。閾値(刺激を左右するハードル)が下がってる脳の状態は、熱を持っている状態です。冷やすと良い事があります。例えば、、、遠方より来院された患者様です。困っておられる状況が伝わります。 →